Клинический случай: тотальное удаление лопатки в связи с саркомой Юинга
Костные саркомы поражают практически все отделы скелета, в результате чего возникает проблема восстановления функции конечности в ходе реконструктивных операций после удаления участка скелета. В некоторых случаях это удаётся, в других, к сожалению, встаёт вопрос корректирующего вмешательства.
Серьёзной проблемой становится резекция плоских костей, играющих важную функциональную роль. К таким случаям относятся поражения лопаток. Лопатка, помимо важной функциональной нагрузки, имеет и эстетическую роль. Резекции тела лопатки, вне зависимости от их объёма, при сохранении гленоида не приводят к большим нарушениям функции. Однако при саркоме лопатки, когда ставится вопрос тотального удаления её, помимо функциональных нарушений, возникают вопросы эстетического ряда, связанные с провисанием верхней конечности. Это возникает в том случае, когда не удаётся сохранить акромиальный участок ключицы с её связками.
В представленном клиническом случае саркома Юинга лопатки была диагносцирована у мальчика 14 лет. Размеры образования изначально были большими и была поражена вся лопатка.
После курсов неоадъювантной химиотерапии удалось полностью нейтрализовать мягкотканный компонент опухоли и провести радикальное вмешательство, сохранив акромиальный участок ключицы со связками, к которой были фиксированы остальные части суставной сумки плеча.
Первым требованием в онкологии является радикальность вмешательства, а вторым – восстановить то, что было удалено. После тотального удаления лопатки практически невозможно иметь превосходные функциональные результаты, поскольку удаляется вся суставная поверхность. А в эстетическом плане весьма важно предотвращение провисания конечности. В нашем случае удалось получить такой конечный вид плечевого пояса, который полностью удовлетворил больного и функционально, и эстетически.
Подобные операции уникальны по своему масштабу и должны проводится со стороны соответствующих специалистов.
Вмешательство осуществил руководитель клиники Ортопедии и травматологии, к.м.н. Саркис Назарович Маркарян.


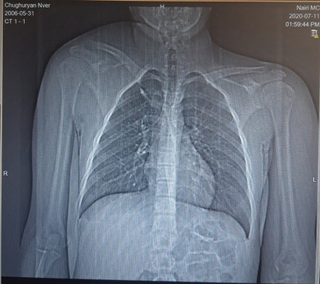
Рисунок 1. Радиологическое изображение лопатки


Рисунок 2. После операции имеем отличный эстетический результат
