Правильный диагноз основа грамотного лечения
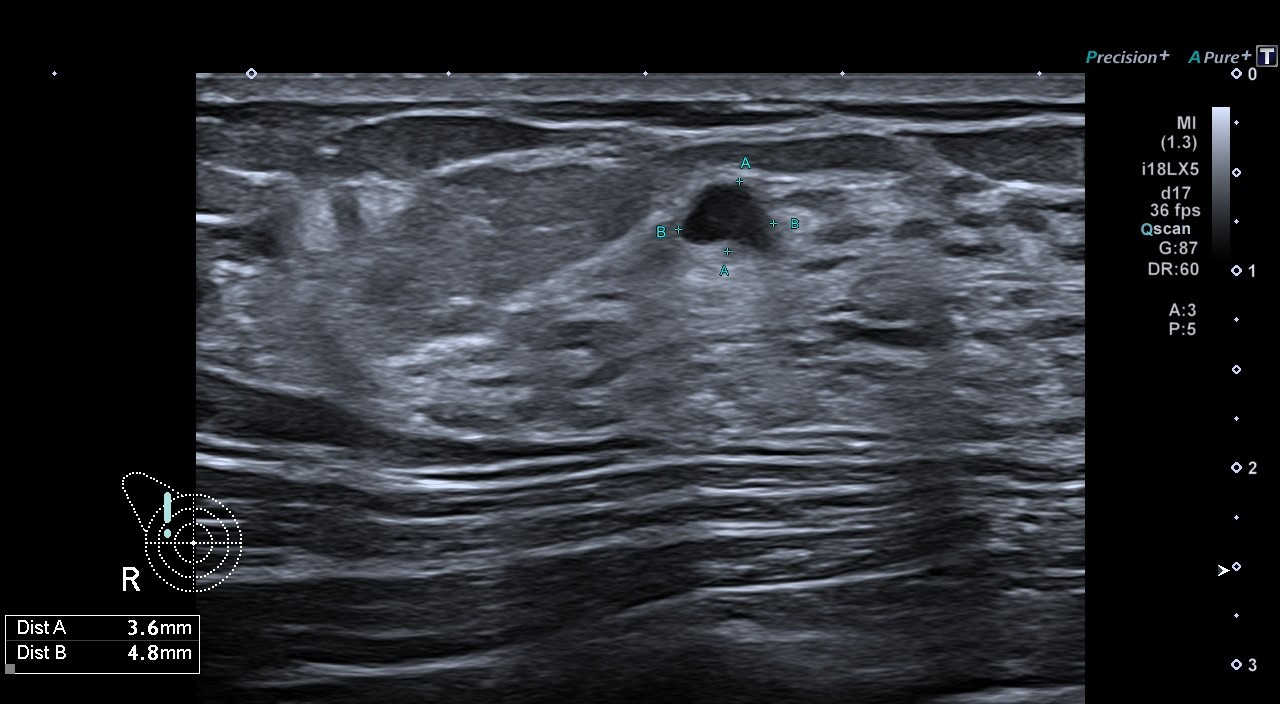
Пациентка 30л обратились в МЦ Наири с целью делать УЗИ молочной железы.
В результате исследования в правой молочной железе было обнаружено образование с неоднородной структурой размером в 5 мм, которое имело выраженное кровоснабжение.
Затем были проведены рентгеновская маммография и МРТ молочной железы.
В результате исследований у пациентки был диагностирован пролиферативный DCIS правой молочной железы (протоковая карцинома молочной железы in situ).
Затем была проведена стериотактическая вакуумная биопсия под контролем рентгеновской маммографии ,в результате чего была диагностирована инвазивная карцинома правой молочной железы.
Учитывая тип рака молочной железы , молодой возраст пациента, полученные в результате диагностики данные были представлены в онкологический консилиум (Tumor BOARD).
В результате совместного обсуждения было принято решение начать лечение с химиотерапии.
В настоящее время пациент проходит 4-й курс химиотерапии в отделении химиотерапии МЦ ''Наири''.
В данном случае применение современных радиологических методов дает возможность пациенту правильно определить и совместно с онкологической командой выбрать лучшую тактику лечения.




