Լուրեր
Կլինիկական դեպք. ոսկրահոդային դեֆեկտի անհատական էնդոպրոթեզավորում
15 Մարտ 2022 | Լուրեր | Օրթոպեդիա և վնասվածքաբանություն, «Կոքսա» կլինիկա | Գալուստ Հարությունի Գալուստյան
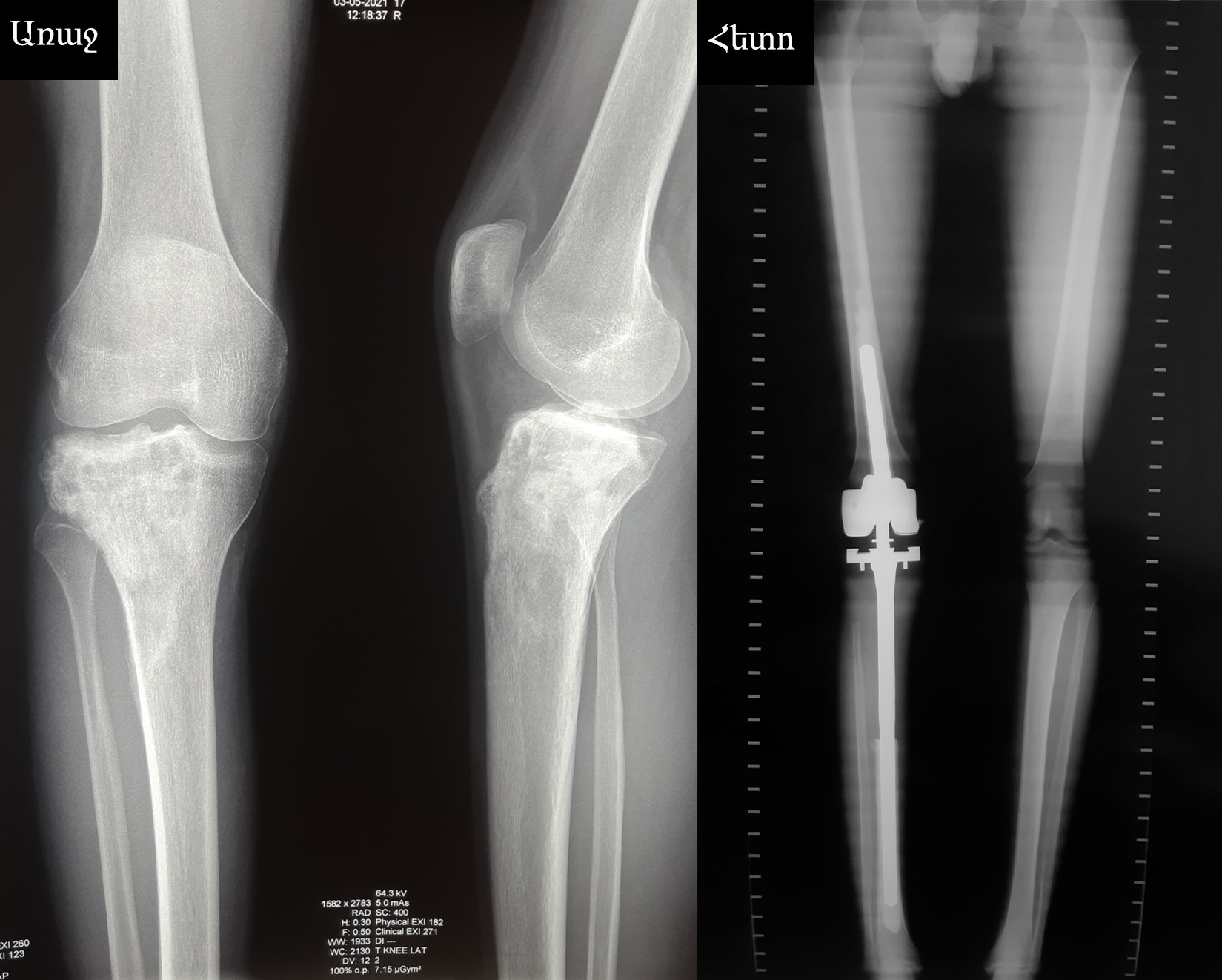
Պացիենտը 17 տարեկան է:
Ախտորոշումը՝ աջ ոլոքի վերին երրորդականի օստեոսարկոմա:
Ստացել է նախավիրահատական հինգ կուրս քիմիաթերապիա Յոյլանի անվ. Արյունաբանական կենտրոնում, որից հետո ընդունվել է «Նաիրի» բժշկական կենտրոն վիրահատական բուժման նպատակով:
Կատարվել է ոլոքի վերին երրորդականի և ծնկահոդի մասնահատում՝ ուռուցքի հեռացումով:
Առաջացած ոսկրահոդային դեֆեկտի անհատական էնդոպրոթեզավորում է կատարվել:

Նմանատիպ հոդվածներ
-
-
Գանգոսկրի դեֆեկտի վերականգնում. կլինիկական դեպք
14 Մարտ 2019
-
-
«Կոկսա-Նաիրի» կլինիկա՝ օրթոպեդիայի նոր հնարավորություններ Հայաստանում
15 Դեկտեմբեր 2016
-
Դիտել բոլորը
Բաժանորդագրվեք` ստանալու տեղեկատվություն
